
Розширене УЗД всіх органів живота (Abdominal Ultrasound) експертного рівня
Дослідження: печінки, жовчного міхура, жовчних проток, підшлункової залози, селезінки, нирок, наднирників, сечового міхура, скринінгове дослідження шлунка і кишечника, лімфовузлів, сальника, всієї черевної порожнини, включаючи малий таз, і всього ретроперитонеального простору. Також включено дослідження великих судин печінки і нирок, із застосуванням кольорового і спектрального доплера.
Мета дослідження: діагностика гострих або хронічних захворювань органів живота, кіст, поліпів, абсцесів, каменів в жовчному міхурі або в нирках, доброякісних або злоякісних пухлин в органах, аналізу кровоплину в органах, діагностики невідкладних станів.

Чому ми проводимо дослідження всіх органів живота в одному дослідженні?
Тільки в нашому центрі проводиться розширене і ретельне дослідження експертного рівня абсолютно всіх органів живота в одному дослідженні. Тому що діти часто не можуть точно вказати локалізацію болю, вона може бути поширеною або віддавати зовсім в інші віддалені місця і органи. Тому тільки такий підхід вважається професійним, який необхідний для пошуку причини болю в животі і встановлення точного діагнозу.
Наприклад: При ускладненні гострого апендициту з абсцесом, біль може віддавати в спину і може бути призначене УЗД нирок. Тому при ультразвуковому дослідженні тільки нирок діагностика апендициту та його ускладнень, що потребує негайного лікування, буде пропущена.
Тому такий підхід, як дослідження окремих органів живота (в більшості приватних клінік), ми вважаємо непрофесійним. І особливо небезпечним при гострій патології живота (гострому животі), коли при дослідженні окремих органів живота можуть бути пропущені небезпечні діагнози.
!!! Ізольоване дослідження нирок і сечового міхура може проводитися при типових проявах патології сечовивідної системи: при нирковій коліці, болю та різі при сечовипусканні, прискореному сечовипусканні або затримки сечі, крові в сечі, або з метою моніторування вже виявленої раніше патології (камені в нирках або хронічні захворювання нирок).
Інші переваги:
- У дослідження також включено скринінгове дослідження шлунка і кішечника, з метою пошуку патологічних змін в стінках шлунка або кишечника запального або пухлинного характеру (чого ви не знайдете в інших приватних клініках, де кожне дослідження оплачується окремо і не всі це дослідження здатні виконувати).
- Також дуже великою перевагою розширеного абдомінального дослідження є те, що при гострій патології в животі всі додаткові розширені дослідження, необхідні для встановлення діагнозу (такі як: ультразвукова діагностика гострого апендициту, гострого холециститу, гострого панкреатиту, проривної виразки шлунка або 12-й кишки, непрохідності кишечника, інвагінації та ін.) проводяться без додаткової оплати.
- В “SonoScan” не ставлять неіснуючих «комерційних» або лже-діагнозів, які, на жаль, притаманні для багатьох фахівців з УЗД, в комерційних цілях або через низький професійний рівень.
- Фото і відео виявленої патології, 3-D реконструкція (тривимірне зображення) надаються пацієнту безкоштовно, без додаткової оплати.
Хто проводить дослідження: Дослідження проводить висококваліфікований фахівець, з великим досвідом діагностики різної патології внутрішніх органів, включаючи діагностику гострого живота та інших невідкладних станів. Рання і точна діагностика рятує життя пацієнту. Довіряйте найцінніше – здоров’я дитини тільки професіоналам!
Розширене УЗД нирок і сечового міхура експертного рівня
Дослідження: нирок (з дослідженням кровотоку в нирках, застосовуючи кольоровий та спектальний доплер), дослідження сечоводів, сечового міхура і нижніх відділів черевної порожнини, включаючи лімфовузли. Також в це дослідження включено дослідження наднирників і всього заочеревинного простору.

Мета дослідження: Виявлення причини прискореного сечовипускання, болю, різей або крові при сечовипусканні, болю в попереку, затримки сечовипускання, підвищення температури тіла, змін в лабораторних аналізах сечі і крові.

Ведеться пошук: гострих або хронічних запальних захворювань нирок і сечового міхура, вроджених аномалій сечовивідної системи, абсцесів, кіст, каменів, доброкачесвтенних або злоякісних пухлин в нирках, сечоводах і сечовому міхурі, затримки сечі, наявність гідронефрозу (затримка сечі в збиральної системі нирок). Проводиться дослідження уродинаміки (при виявленні затримки сечі проводиться діагностика причини, ступінь і рівень обструкції сечовивідних шляхів).
!!! Однак при незрозумілих болях в животі наполегливо рекомендуємо проводити розширене ультразвукове дослідження всіх органів живота! Так як причиною болю в попереку може бути не патологія нирок, а зовсім інша причина.
Наприклад: причиною болю в попереку може виявитися абсцес при ускладненому гострому апендициті.
Підготовка: Перед дослідженням не потрібно пити багато рідини. Достатньо випити 1- 2 склянки води (залежить від віку дитини) за 1 одну годину перед дослідженням і до проведення дослідження не мочитися (потрібен наповнений сечовий міхур).
УЗД нирок, наднирників, ниркових артерій (для обстеження при артеріальній гіпертонії):
УЗД нирок, наднирників, з кольоровим та спектральним доплерівським дослідженням ниркових артерій та кровоплину в нирках (з метою виявлення хронічних захворювань нирок, стеноза судин нирок, пухлин наднирників).

Підготовка: дослідження виконується на порожній шлунок (достаньо 6 годин не їсти до проведення дослідження).
УЗД наднирників (для обстеження при ендокрінологічних порушеннях):
УЗД наднирників проводиться з метою виявлення гіперплазії чи пухлин наднирників. Дослідження проводиться з кольоровим допплером, з обстеженням всього заочеревинного простору і лімфатичних вузлів.

Підготовка: дослідження виконується на порожній шлунок (достаньо 6 годин не їсти до проведення дослідження).
УЗД легень та плевральних порожнин
Ультразвукова діагностика пневмоній у дітей.
УЗД легенів призначається дітям з підозрою на пневмонію. При ультразвуковому дослідженні ведеться пошук вогнищ пневмонії і плеврального випоту. УЗД також може діагностувати і іншу патологію легенів: набряк легенів, абсцеси легенів, пневмоторакс.

УЗД є точним і надійним методом діагностики пневмоній у дітей. За діагностичною точністю УЗД перевищує рентгенографію легенів при діагностиці пневмоній у дітей і прирівнюється до точності КТ легенів (Комп’ютерної Томографії).
В даний час УЗД легенів у дітей витісняє рентгенологічне дослідження і є діагностичним тестом першої лінії при діагностиці пневмоній у дітей, дозволяючи швидко визначити: Є пневмонія або Ні.
Також, в порівнянні з рентгенографією, ультразвукове дослідження має важливу перевагу: відсутність іонізуючої радіації, яка є небажаною, особливо у дітей.
Проведення дослідження: У нашому центрі ультразвукове дослідження виконує висококваліфікований лікар з великим досвідом діагностики пневмоній у дітей і її ускладнень, на сучасному ультразвуковому апараті преміум класу, з високою якістю зображень.
Батьки можуть бути впевненими в тому, що діагноз пневмонії легенів буде поставлений швидко і точно, так само швидко і точно може бути виключена пневмонія у вашого малюка.
Підготовка: не потрібна.
УЗД шлунка при пілоростенозі у новонароджених
Вроджений пілоростеноз (звуження на виході шлунка) – стан, що трапляється у новонароджених здебільшого на 2- 3 тиждень від народження.
Пілорус – це сфінктер, що відокремлює пілоричну (кінцеву) частину шлунка від дванадцятипалої кишки. Сфінктер являє собою м’язове кільце, яке регулює перехід їжі з шлунка до кишечника. Потовщення пілоросу викликає перешкоду для потрапляння їжі із шлунка до кишечника і проявляється такими симптомами як: блювота “фонтаном” без жовчі та зменьшення ваги тіла дитини.
При ультразвуковому дослідженні при пілоростенозі відзначається помітне потовщення пілоруса. Діагностика вродженого пілоростенозу за допомогою УЗД проводиться швидко та безболісно.
Підготовка: дослідження у новонародженого проводиться на порожній шлунок (через 3 години після останнього годування) та після годування.
Нейросонографія
Нейросонографія (НСГ) – це безболісний і безпечний метод ультразвукового дослідження головного мозку новонародженого та дитини раннього віку (до 1 року) через природні отвори в черепі (відкриті джерельця).

Показання: Нейросонографія проводиться, якщо дитина: народилася недоношеною або з малою вагою, не заплакала відразу після народження, постраждала під час пологів від гіпоксії, асфіксії, має родові травми, внутрішньоутробне інфікування, при наявності неврологічних симптомів.
Мета дослідження: при дослідженні ведеться пошук постгіпоксичних уражень мозку (крововиливи в шлуночки та тканини головного мозку), вроджених вад розвитку мозку, гідроцефалії, запальних процесів, кіст та пухлин, судинних аномалій. Дослідження проводиться з кольоровим доплером.
Підготовка: не потрібна.
УЗД в гінекології
При гінекологічному УЗД проводиться обстеження: тіла матки, порожнини матки, шийки матки, яєчників і маткових труб, області малого тазу і регіонарних лімфовузлів.
Мета дослідження: Пошук вроджених аномалій розвитку матки, запальних захворювань матки і придатків, кіст яєчників, доброякісних або злоякісних утворень в матці та яєчниках, пошук вільної рідини в малому тазу. Також при гострому болю в животі ведеться пошук розривів яєчників, перекруту яєчників, гострих запальних захворювань малого тазу.
Тип дослідження: Трансабдомінальне дослідження (виконується зовні абдомінальним датчиком через передню стінку живота) дозволяє оцінити всю порожнину малого тазу (з широким оглядом), матку, яєчники та маткові труби.

Підготовка до дослідження: Для трансабдоминального дослідження (необхідний помірно наповнений сечовий міхур). Тому за час до дослідження необхідно випити 1-2 склянки води (залежить від віку) і не спорожнювати сечовий міхур до проведення дослідження.
УЗД молочних залоз
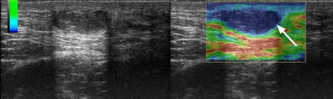
Ультразвукове дослідження молочних залоз виконується з метою виявлення доброякісних або злоякісних пухлин, запального процесу (мастити, абсцеси), фіброзно-кістозної мастопатії та оцінки стану прилеглих лімфатичних вузлів. Дослідження проводиться з застосуванням кольорового доплера та Еластографії. Під час і після дослідження лікар пояснює пацієнту виявлені ознаки, що будуть відображені в діагностичному висновку лікаря.

При виявленні будь-яких утворень в молочних залозах додатково проводиться Еластографія – нова технологія ультразвукового дослідження, яка дозволяє оцінити еластичність новоутворень і допомагає відрізнити доброякісні від злоякісних пухлин: щільні, жорсткі утворення при еластографії мають синій колір і найчастіше представлені злоякісними пухлинами, в той час як еластичні, м’які утворення на еластографії мають зелений колір, з жовто-червоним забарвленням і найчастіше представлені доброякісними утвореннями. Еластографія підвищує точність діагностики і може знижувати відсоток непотрібних біопсій молочних залоз.

Підготовка: підготовка не потрібна, але дослідження бажано проводити в період, починаючи з 2 дня після закінчення місячних до середини циклу. При підозрі на запальний процес з підвищенням температури або при сильному болі УЗД проводиться негайно, незалежно від дня циклу.
Переваги в SonoScan:
- Зображення та відео виявленної патології надаються безкоштовно.
- Еластографія при діагностиці новоутворень молочних залоз проводиться не як окреме платне дослідження, а як обов’язкове доповнення при розширеному дослідженні, яке проводиться без додаткової оплати (на відміну від інших приватних клінік).
- При необхідності може бути виконана ЗD реконструкція (тривимірне зображення) пухлини молочної залози, яке надається безкоштовно.
- Для уточнення діагнозу може бути призначене додаткове УЗД, яке надається безкоштовно.
УЗД щитовидної залози
Дослідження: При УЗД щитовидної залози досліджуються розміри та будова щитовидної залози, паращитовидних залоз, лімфатичні вузли та м’які тканин шиї. При дослідженні застосовується кольоровий доплер та еластографія. Еластографія – це нова технологія ультразвукового дослідження, яка допомагає відрізнити доброякісні від злоякісних пухлин.
Мета дослідження: При дослідженні ведеться пошук причин збільшення щитовидної залози, запальних процесів, доброякісних та злоякісних пухлин (вузлів), кіст.

Підготовка: підготовка для УЗД щитовидної залози не потрібна.
Переваги в SonoScan:
- Зображення та відео виявленної патології надаються безкоштовно.
- Еластографія при діагностиці новоутворень щитовидної залози проводиться не як окреме платне дослідження, а як обов’язкове доповнення при розширеному дослідженні, яке проводиться без додаткової оплати (на відміну від інших приватних клінік).
- Для уточнення діагнозу може бути призначене додаткове УЗД, яке надається безкоштовно.
УЗД м’яких тканин
Дослідження: При УЗД м’яких тканин досліджуються ділянки припухлості та болю в м’яких тканинах (шкіри, підшкірно-жирового шару, м’язів). При дослідженні застосовується кольоровий доплер та еластографія. Еластографія – це нова технологія ультразвукового дослідження, яка допомагає відрізнити доброякісні від злоякісних пухлин.

Мета дослідження: ведеться пошук причин припухлості м’яких тканин: запальних процесів, доброякісних та злоякісних пухлин, кіст та травматичних пошкоджень.
Підготовка: не потрібна.
УЗД лімфовузлів
УЗД периферичних лімфатичних вузлів – це швидке і безпечне дослідження, яке дозволяє оцінити стан лімфатичних вузлів шиї, підключичної, надключичной, загрудинной, пахвових і пахових областей.

Мета дослідження: під час дослідження визначають розміри, форму, контури, ехоструктуру, судинний малюнок лімфатичних вузлів та прилеглих тканин, з метою діагностики реактивних, запальних чи пухлинних процесів. Дослідження лімфовузлів проводиться з застосуванням кольорового допплера та Еластографії.
Підготовка: не потрібна.
УЗД яєчок
Дослідження: При УЗД органів калитки (мошонки) досліджують яєчка, придатки яєчок та судини сім’яного канатика. Ультразвукову діагностику яєчок можна проводити у будь-якому віці, також вона не має протипоказань.

Мета дослідження: оцінка будуви та пошук запалювальних процесів (орхіт, епідідиміт, абсцеси), доброякісні та злоякісні новоутворення, гідроцеле (водянка яєчка), варикоцеле (варикозне розширення вен сім’яного канатика). Дослідження проводиться з застосуванням кольорового допплера та Еластографії.
Також за допомогою УЗД діагностують крипторхізм (вада розвитку, коли яєчка не опускаються в мошонку), ушкодження внаслідок травми, перекрут яєчка.
Підготовка: не потрібна.
УЗД слинних залоз
Ультразвукова діагностика слинних залоз – це швидкий та безболісний метод обстеження навколовушних, під’язичних та підщелепних слинних залоз, який дає можливість оцінити структуру тканини слинних залоз, прилеглих тканин та лімфовузлів.

Мета дослідження: За допомогою УЗД оцінюють розмір та структуру залоз, кровоплин в залозах, стан прилеглих лімфатичних вузлів для діагностики запальних процесів, кіст, каменів, доброякісних та злоякісних пухлин, виявлення причин блоку протоків слинних залоз. Дослідження проводиться з застосуванням кольорового допплера та Еластографії.
Підготовка: не потрібна.
УЗД придаткових пазух носа (гайморових пазух)
УЗД гайморових пазух носа є безболісним, швидким і надійним методом при діагностиці гострого синуситу (гаймориту).
Пазухи носа, розташовані в кістках верхньої щелепи з боків від носа, в нормі заповнені повітрям. При запаленні слизова пазухи стає набряклою і пазуха заповнюється запальною рідиною.УЗД дозволяє швидко і достовірно визначити наявність або відсутність рідини в пазухах носа.
Мета дослідження: пошук рідини в пазухах носа.

При цьому, на відміну від рентгенографії, ультразвукове дослідження не має іонізуючої радіації, що особливо важливо для дітей і вагітних жінок. Тому УЗД в даний час є діагностичним тестом першої лінії при діагностиці синуситів (гайморитів), особливо у дітей і жінок, дозволяючи швидко визначити: Є рідина в пазухах носа або Ні.
Підготовка: підготовка не потрібна.
Ультразвукова діагностика гриж
Грижа – це вихід органів з живота через природні або патологічні отвори в стінці живота або інших областей. Вроджений або набутий дефект цілісності стінки м’язів і мембран, дає можливість внутрішнім органам живота вийти в грижовий мішок. Цей стан є результатом вираженого і прогресуючого ослаблення м’язової і фасціальної стінок, які в нормальних фізіологічних умовах повинні утримувати орган у відповідному місці.

Мета дослідження: пошук гриж при підозрі на грижове випинання в області передньої черевної стінки або інших областей. Проводиться діагностика наступних типів гриж: пахових, стегнових, пупкових, гриж середньої лінії живота, гриж в області рубця після операції. При цьому проводиться вимір розмірів грижових воріт (отворів) і розмір грижового мішка, що містить жирову тканину або петлі кишечника.
Підготовка: підготовка не потрібна.
УЗД очей
УЗД очей – дослідження очного яблука за допомогою ультразвуку, допомагає виявляти цілий ряд захворювань переднього і заднього відрізку ока. Протипоказань до проведення УЗД очей немає.

Мета дослідження: діагностика травматичного пошкодження ока, відшарування сітківки, патології склистого тіла, пухлин ока, а також ретобульбарного простору, патології зорового нерва, патології положення і структури кришталика, діагностика сторонніх тіл в оці.
Підготовка: підготовка не потрібна.