
- Всім вагітним жінкам на будь-якому терміну вагітності фото зображень та відео ультразвукового дослідження надаються безкоштовно.
- Якщо при дослідженні плоду не вдається провести адекватне дослідження будь-якого органу плоду або неможливо визначити стать плода, які пов’язані з положенням плоду, то призначається повторне дослідження, яке надається безкоштовно.
-
В кабінеті є додатковий великий екран-монітор для пацієнтів, що особливо важливо при акушерських дослідженнях, який дозволить Вам і членам вашої родини добре бачити зображення вашої дитини, поки лікар буде давати відповідні пояснення.
-
Всі ультразвукові дослідження проводяться в приватній кімнаті з місцями для Вас і ваших близьких.
УЗД на ранніх термінах вагітності (до 10 тижнів)
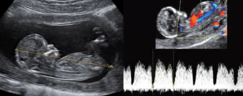
Метою УЗД при ранньому терміну вагітності є підтвердження вагітності в матці, діагностика позаматкової вагітності, визначення серцебиття плода, встановлення найбільш точного гестаційного віку плоду та дати пологів, виявлення багатоплідної вагітності, діагностика патологічного розвитку ембріона та оцінка стану матки та яєчників.

Найчастіше перше ультразвукове дослідження вагітним проводять на 6-8 тижні. На цьому терміні вагітності ультразвукове дослідження можна виконувати трасабдомінальнм датчиком (зовні, через живіт), але для отримання більш якісного зображення виконують трансвагінальне дослідження (через піхву).

У терміни понад 10 тижнів вагітності, УЗД, як правило, проводять трансабдомінально (через живіт).
Підготовка: не потрібна
Скринінги при вагітності
Пренатальний скріниг – це дослідження під час вагітності, яке дозволяє розрахувати ризик хромосомних аномалій плода, в першу чергу – синдрому Дауна, Едвардса, Патау, дефектів нервової трубки та інших вроджених вад в майбутнього малюка.
Проведення скринінгу призначається у визначений проміжок, коли ризики оцінюються максимально точно. Здебільшого потрібні два таких дослідження: у першому та другому триместрах, подвійний та потрійний тест, відповідно. Обидва дослідження включають деталізоване УЗД та біохімічний аналіз крові (маркери білку РАРР-А, β-ХГЧ, альфа-фетопротеїну, вільний естріол).
Ультразвуковий скринінг (УЗД експертного рівня) плода у І триместрі вагітності: (термін вагітності 11 – 14 тижнів, оптимально 12-13 тижнів).
При ультразвуковому скринінговому дослідженні у I триместрі ведеться пошук ультразвукових маркерів хромосомної патології: вимірюється товщина комірцевого простору (Nuchal Nranslucency scan), оцінюється наявність носової кістки, кровоплин в венозній протоці та на тристулковому клапані.

При збільшені товщини комірцевого простору (NT), відсутності носової кістки, патологічного кровотоку в венозній протоці, на тристулковому клапані в серці підвищується рівень ризику виникнення генетичних захворювань (в першу чергу синдром Дауна – трисомія 21 пари хромосом). Також проводиться скринінг анатомічних аномалій плода (вроджених вад).

Ультразвукове дослідження підтверджує розвиток та визначає розміри плоду, з встановленням найбільш точного гестаційного віку плоду та дати пологів.
Підготовка: не потрібна
Ультразвуковий скринінг (УЗД експертного рівня) плода у ІІ триместрі вагітності: (оптимальний термін вагітності 20 – 22 тижні)
При ультразвуковому скринінговому дослідженні у II триместрі також ведеться пошук ультразвукових маркерів хромосомної патології: вимірюється товщина комірцевого простору (Nuchal Nranslucency scan), оцінюється довжина носової кістки, довжина стегна та плеча, кровоплин в венозній протоці, на тристулковому клапані та інші ультразвукові маркери хромосомної патології.
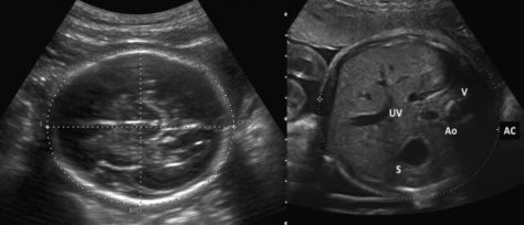
Діагностичне ультразвукове сканування у II триместрі є основним дослідженням для повної оцінки анатомічних структур плода, з метою виявлення морфологічних аномалій.

При скануванні ретельно оцінюються всі органі та системи: головний мозок, спинний мозок, обличчя, кістки, легені, діафрагма, серце, нирки, сечовий міхур, шлунок, кишечник, стінку живота, щоб діагностувати або виключити вроджені вади органів. Дослідження проводиться за допомогою кольорового та спектрального доплера, включно з ехокардіографією плода (УЗД серця плода).

При цьому також вимірюють розміри плоду та визначають його гестаційний вік і розвиток, оцінюють локалізацію, товщину та структуру плаценти, визначають кількость навколоплідної рідини, оцінюють довжину шийки матки. Дослідження триває 45 хвилин.
На цьому етапі також можливо визначити стать дитини (хлопчик чи дівчинка).


Підготовка: не потрібна
Ультразвуковий скринінг (УЗД експертного рівня) плода у ІІІ триместрі вагітності: (оптимальний термін вагітності 32 – 34 тижні).
Третє дослідження необхідно для оцінки параметрів пренатального розвитку: розрахунку передбачуваної маси, росту плода та їхню відповідність терміну вагітності. Досліджуються ознаки підвищеної загрози передчасних пологів, пізньої прееклампсії і затримки розвитку плода.

При дослідженні оцінюється стан плаценти (товщина, структура і стадія зрілості) та стан амніотичної рідини. Визначається положення і передлежання плоду. Вимірюється товщина рубця на матці (після попередніх кесаревих розтинів).
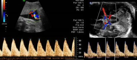
Для оцінки внутрішньоутробного стану плода, характеру та причин затримки розвитку плода, наявності гіпоксичних змін проводиться додаткове дослідження (доплерографія). Всі показники доплерографічного дослідження порівнюються в графічних таблицях та оцінюються відповідно гестаційному віку.

Також досліджуються анатомічні структури плода для виявлення тих вад, які можна виявити тільки в більш пізні терміни вагітності.
Підготовка: не потрібна
Біофізичний профіль плода (БПП) + доплерографічне дослідження матково-плацентарного та плодово-плацентарного кровопливу:
Дослідження проводиться за показанням, у вагітних високого ризику: оцінюється сума балів окремих біофізичних параметрів (дихальні рухи плода, тонус плода, рухова активність плода, об’єм навколоплодових вод). Додатково проводиться доплерографія кровоплину в пуповині і середній мозковій артерії плода, в маткових артеріях.

Цевікометрія
Цевікометрія (вимірювання довжини шийки матки).
Шийка матки утримує плід в матці протягом всієї вагітності. Іноді тонус м’язів шийки матки слабшає передчасно, при цьому вона починає скорочуватися і розкриватися. Щоб вчасно виявити цей процес і запобігти передчасному народженні дитини необхідно вимірювати довжину шийки матки.
Ультразвукове дослідження шийки матки застосовується для прогнозування передчасних пологів. Чим коротше довжина шийки матки, тим вище загроза передчасного переривання вагітності. Короткою вважається шийка матки довжиною менше 25 мм.
Вимірювання довжини шийки матки особливо рекомендується вагітним з високим ризиком:
- наявність в минулому випадків передчасних пологів, викидня на пізніх термінах вагітності.
- багатоплідна вагітність
- перенесені операції на шийці матки.
Довжина шийки матки може визначатися при зовнішньому УЗД через передню черевну стінку (трансабдоминальне УЗД) або через промежину і статеві губи (трансперінеальне УЗД).
Однак для більш точного вимірювання довжини шийки матки проводиться трансвагінальне дослідження (через піхву), при якому буде отримано більш чітке зображення шийки матки.

При проведенні трансвагінального УЗД ускладнень не виникає. Трансвагинальное УЗД є безпечним методом дослідження як для самої жінки, так і для плода.
Підготовка: Спеціальної підготовки не потрібно. Дослідження проводиться за допомогою трансвагінального датчика. Перед дослідженням необхідно спорожнити сечовий міхур.
